Bạn đang mong muốn chào đón một thiên thần nhỏ? Việc chuẩn bị cho hành trình mang thai không chỉ đơn thuần là bổ sung dinh dưỡng hay tập thể dục, mà còn bao gồm cả việc thực hiện các xét nghiệm cần thiết để đảm bảo sức khỏe cho cả mẹ và bé.
Trong số đó, xét nghiệm nhiễm sắc thể trước khi mang thai đóng vai trò vô cùng quan trọng, góp phần nâng cao tỷ lệ thành công cho quá trình thụ thai và chào đón một em bé khỏe mạnh. Vậy xét nghiệm này có vai trò gì và mang lại lợi ích gì cho mẹ và bé? Hãy cùng khám phá trong bài viết này nhé!
 
                                
                                
                                                                        Xét nghiệm nhiễm sắc thể là gì?
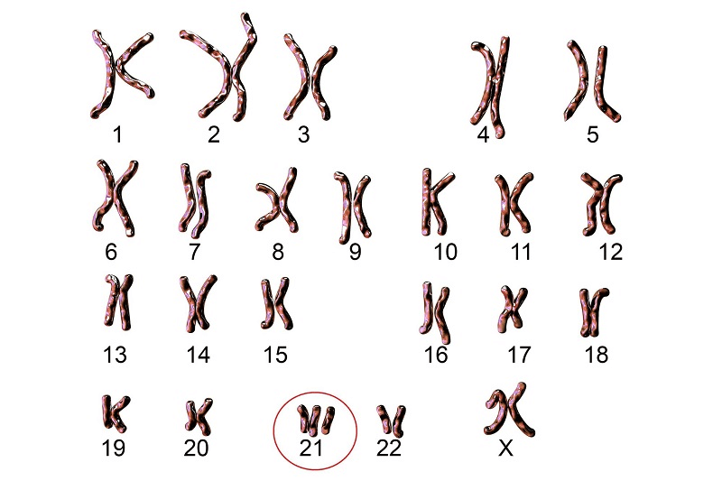
Xét nghiệm nhiễm sắc thể là một xét nghiệm nhằm phân tích bộ nhiễm sắc thể của một người để tìm kiếm các bất thường về số lượng hoặc cấu trúc. Mỗi người bình thường có 46 nhiễm sắc thể, được sắp xếp thành 23 cặp. Mỗi cặp nhiễm sắc thể được thừa hưởng từ một người trong cặp bố mẹ.
Xét nghiệm nhiễm sắc thể có thể được thực hiện trên các mẫu tế bào khác nhau, bao gồm tế bào máu, tế bào da hoặc tế bào nhau thai. Mẫu tế bào sẽ được nuôi cấy trong phòng thí nghiệm để nhân bản và sau đó được nhuộm màu đặc biệt để làm nổi bật nhiễm sắc thể. Các nhà di truyền học sẽ xem xét kỹ lưỡng nhiễm sắc thể dưới kính hiển vi để tìm kiếm bất kỳ bất thường nào, chẳng hạn như:
- 
Thiếu hụt nhiễm sắc thể: Mất một hoặc nhiều toàn bộ nhiễm sắc thể. 
- 
Nhiễm sắc thể thừa: Có thêm một hoặc nhiều toàn bộ nhiễm sắc thể. 
- 
Sắp xếp lại nhiễm sắc thể: Một phần của nhiễm sắc thể bị gãy ra và gắn vào một nhiễm sắc thể khác. 
Xét nghiệm nhiễm sắc thể có thể được sử dụng để chẩn đoán nhiều tình trạng khác nhau, bao gồm:
- 
Rối loạn di truyền: Hội chứng Down, hội chứng Edward, hội chứng Turner,... 
- 
Dị tật bẩm sinh: Tim bẩm sinh, nứt đốt sống, v.v. 
- 
Sẩy thai: Sẩy thai lặp đi lặp lại có thể do bất thường về nhiễm sắc thể. 
- 
Vô sinh: Một số cặp vợ chồng không thể thụ thai do bất thường về nhiễm sắc thể. 
- 
Ung thư: Một số loại ung thư có liên quan đến bất thường về nhiễm sắc thể. 
Nhìn chung, xét nghiệm nhiễm sắc thể là một công cụ chẩn đoán quan trọng có thể giúp xác định nguyên nhân của nhiều vấn đề sức khỏe.

Các dạng nhiễm sắc thể cần sàng lọc trong quá trình mang thai
Trong quá trình mang thai, việc sàng lọc các dạng nhiễm sắc thể (NST) là rất quan trọng để phát hiện các bệnh liên quan đến nhiễm sắc thể ở thai nhi. NST chứa thông tin gen quan trọng, đóng vai trò quyết định trong quá trình di truyền và hình thành protein. Mỗi người bình thường mang trong cơ thể 46 NST, được tổ chức thành 23 cặp, trong đó có 23 NST di truyền từ mẹ và 23 NST di truyền từ bố.
Tuy nhiên, một số bệnh dị tật bẩm sinh và các rối loạn di truyền có thể phát sinh do sự tồn tại của các NST bất thường. Các dạng nhiễm sắc thể thường được sàng lọc trong thai kỳ bao gồm:
- 
Hội chứng Down (Tam bội NST 21): Thai nhi bình thường chỉ có 2 NST 21, nhưng khi mắc phải hội chứng Down, sẽ có đến ba bản sao của NST 21. 
- 
Hội chứng Patau (Tam bội NST 13): Thai nhi bình thường chỉ có 2 NST 13, nhưng khi mắc phải hội chứng Patau, sẽ có đến 3 bản sao của NST 13. 
- 
Hội chứng Edwards (Tam bội NST 18): Thai nhi bình thường cũng chỉ có 2 NST 18, nhưng khi mắc phải hội chứng Edwards, sẽ có đến 3 bản sao của NST 18. 
Việc phát hiện sớm các bệnh liên quan đến nhiễm sắc thể thông qua quá trình sàng lọc trong thai kỳ có thể cung cấp thông tin quan trọng để quyết định liệu pháp can thiệp và chăm sóc cho thai nhi sau này.

Vai trò của xét nghiệm nhiễm sắc thể trước khi mang thai
Việc tiến hành xét nghiệm nhiễm sắc thể trước khi mang thai đóng vai trò vô cùng quan trọng trong việc đảm bảo sức khỏe của thai nhi và ngăn ngừa các biến chứng liên quan đến nhiễm sắc thể. Thống kê từ Tổ chức Y tế Thế giới (WHO) vào năm 1996 đã chỉ ra rằng tỷ lệ bất thường nhiễm sắc thể ở các khu vực khác nhau có sự khác biệt:
- 
Trong các nước đang phát triển, tỷ lệ này dao động khoảng từ 2 đến 3 trẻ trong mỗi 1000 trẻ mới sinh. 
- 
Trong các nước phát triển, tỷ lệ này thấp hơn, chỉ khoảng 1.2 trẻ trong mỗi 1000 trẻ mới sinh. 
Trong số các bệnh dị tật bẩm sinh do bất thường nhiễm sắc thể, các loại phổ biến nhất bao gồm NST 21 (chiếm 53%), NST 18 (chiếm 13%), và NST 13 (chiếm 5%). Do đó, việc thực hiện xét nghiệm nhiễm sắc thể khi mang thai có tác dụng quan trọng trong việc phát hiện sớm các dạng bất thường này, từ đó giảm tỷ lệ trẻ mắc các hội chứng di truyền nguy hiểm liên quan đến nhiễm sắc thể.
Bằng cách này, việc sàng lọc trước khi mang thai không chỉ giúp bảo vệ sức khỏe của thai nhi mà còn giảm bớt gánh nặng cho xã hội nói chung và mỗi gia đình nói riêng. Đồng thời, thông qua việc phát hiện sớm các dạng bất thường nhiễm sắc thể, các biện pháp can thiệp và điều trị kịp thời có thể được áp dụng, từ đó cải thiện dự đoán và chăm sóc cho sức khỏe của thai nhi và mẹ.

 
                                [Giải đáp] Uống củ gai có ảnh hưởng đến thai nhi hay không?
 
                                Dọa sảy thai nên nghỉ bao nhiêu ngày? Hướng dẫn chi tiết cho mẹ bầu
 
                                Vợ chồng cần bổ sung gì trước khi mang thai? [Hướng dẫn chi tiết]
Những cá nhân nào cần xét nghiệm nhiễm sắc thể trước khi mang thai?
Việc xét nghiệm nhiễm sắc thể trước khi mang thai đóng vai trò quan trọng trong việc sàng lọc và phát hiện sớm các dạng bất thường nhiễm sắc thể, cũng như các bệnh lý di truyền mà thai nhi có thể mắc phải. Những đối tượng nên tiến hành xét nghiệm xét nghiệm nhiễm sắc thể trước khi mang thai bao gồm:
- 
Thai phụ có tiền sử sinh con bị mắc các dị tật bẩm sinh. 
- 
Một trong hai người (vợ hoặc chồng) có đột biến cấu trúc nhiễm sắc thể di truyền. 
- 
Phụ nữ mang thai ở độ tuổi trên 35. 
- 
Thai phụ có tiền sử thai lưu, sảy thai tự nhiên. 
- 
Thai phụ đã siêu âm thai và phát hiện bất thường, như: độ mờ da gáy cao, không thấy xương sống mũi, nhiễm sắc thể thai bất thường, có nang bạch huyết, và các biểu hiện bất thường khác. 

Phương pháp xét nghiệm nhiễm sắc thể trước khi mang thai hiện nay
Hiện nay, có 3 phương pháp xét nghiệm nhiễm sắc thể phổ biến trước khi mang thai, bao gồm:
1. NIPT (Non-invasive Prenatal Testing | Xét nghiệm trước sinh không xâm lấn)
- 
Ưu điểm: 
- 
Độ chính xác cao (99,98% cho hội chứng Down, Edwards và Patau). 
- 
Xét nghiệm sớm (từ tuần thứ 10 của thai kỳ). 
- 
An toàn, không xâm lấn (lấy mẫu máu mẹ). 
- 
Phát hiện được nhiều hội chứng di truyền khác nhau. 
- 
Nhược điểm: 
- 
Chi phí cao. 
- 
Chỉ là xét nghiệm sàng lọc, cần kết hợp với các xét nghiệm chẩn đoán khác nếu có kết quả dương tính. 
- 
Không phát hiện được tất cả các hội chứng di truyền. 
2. Double test:
- 
Ưu điểm: 
- 
Chi phí thấp. 
- 
Thực hiện đơn giản, dễ dàng. 
- 
Nhược điểm: 
- 
Độ chính xác thấp hơn NIPT (khoảng 60-70%). 
- 
Chỉ phát hiện được một số hội chứng di truyền phổ biến (Down, Edwards). 
- 
Cần kết hợp với các xét nghiệm khác để tăng độ chính xác. 
Xem thêm: [Giải đáp] Uống củ gai có ảnh hưởng đến thai nhi hay không?
3. Triple test:
- 
Ưu điểm: 
- 
Chi phí thấp hơn NIPT. 
- 
Phát hiện được nhiều hội chứng di truyền hơn Double test (Down, Edwards, Patau, ống thần kinh hở). 
- 
Nhược điểm: 
- 
Độ chính xác thấp hơn NIPT (khoảng 65-70%). 
- 
Cần kết hợp với các xét nghiệm khác để tăng độ chính xác. 
- 
Chỉ thực hiện được từ tuần thứ 15-20 của thai kỳ. 
Vậy, nên lựa chọn phương pháp xét nghiệm nào? Việc lựa chọn phương pháp xét nghiệm nào phụ thuộc vào nhiều yếu tố, bao gồm: Tuổi tác của người mẹ; Tiền sử gia đình mắc các bệnh di truyền; Nguy cơ mang thai con dị tật; Sức khỏe và mong muốn của thai phụ;... Vì thế, bạn nên tham khảo ý kiến bác sĩ để được tư vấn cụ thể về phương pháp xét nghiệm phù hợp nhất.

Như vậy, bài viết này đã cung cấp cho bạn một “bức tranh” tổng quan về tác dụng của việc xét nghiệm nhiễm sắc thể trước khi mang thai, cũng như các kiến thức liên quan khác, như: Ai cần xét nghiệm? Có những phương pháp xét nghiệm nào? Hy vọng những thông tin mà Monkey chia sẻ trên đây là hữu ích với bạn. Xin chân thành cảm ơn vì đã theo dõi!
 
             
                




.png) 
                         
                                     
                     
                     
                     
                     
                            
                            
                        




